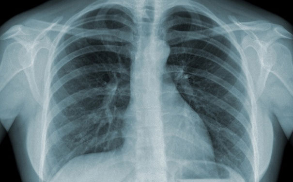
Kiểm tra lao phổi không cần chụp X-quang nhờ thiết bị mới
Các nhà khoa học Bangladesh và Hà Lan đã phát triển thiết bị chẩn đoán bệnh lao phổi và đặt tên là eNose (electronic nose - mũi điện tử). Cơ chế hoạt động của eNose được các nhà nghiên cứu mô tả trong tờ Tạp chí Nature Materials.
Thông thường để chẩn đoán bệnh lao phổi, các bác sĩ phải chỉ định lấy đờm của bệnh nhân để soi dưới kính hiển vi, nuôi cấy trong phòng thí nghiệm. Việc nuôi cấy này mất nhiều thời gian, có thể vài tuần, có khi vài tháng. Ngoài ra bệnh nhân cũng cần chụp X-quang phổi mới có thể kết luận nhiễm bệnh. ENose có thể khắc phục được những phiền toái này.
Với cách chẩn đoán mới, bệnh nhân được yêu cầu thở vào một túi khí, sau đó khí được dẫn qua những cảm biến bằng oxit kim loại nằm bên trong thiết bị. Những cảm biến đó sẽ phát hiện ra hợp chất hữu cơ dễ bay hơi do Mycobacterium tuberculosis - một loại vi khuẩn gây ra bệnh lao - sinh ra. Sau đó, dữ liệu từ các cảm biến được phân tích với sự hỗ trợ của máy tính và được so sánh với các thông số bình thường. Thiết bị có khả năng xác định nhanh một vài chủng vi khuẩn khác ngoài M.tuberculosis.

Kiểm tra bệnh lao phổi không cần chụp X-quang nhờ thiết bị mới
Sau khi được dùng thí điểm trong chương trình phòng chống lao quốc gia của Bangladesh, eNose đã cho thấy sự đơn giản, nhanh gọn và độ nhạy cao của nó. Theo Zeaur Rahim, nhà khoa học đứng đầu nghiên cứu, đây là một phát minh mang tính cách mạng, mang đến sự thuận tiện cho người sử dụng ở những nơi có tỉ lệ nhiễm lao cao. Hơn nữa, thiết bị mới này giúp giảm được rủi ro lây nhiễm do không cần phải xử lý trực tiếp các bệnh phẩm.
Ngoài ra, eNose còn có lợi thế ở tính chính xác và khả năng chẩn đoán sớm. Đó là điều rất cần thiết đối với việc kiểm soát bệnh lao phổi ở những nước có bệnh lao hoành hành.
ENose khi được đưa ra thị trường có tên thương mại là DiagNose. Nó sẽ làm giảm chi phí cho mỗi lần kiểm tra bệnh lao xuống dưới 10 đô la, là một số tiền rất thấp so với phương pháp chẩn đoán truyền thống.
Kỹ thuật mới phát hiện dấu vân tay trên giấy ướt
Các nhà nghiên cứu ở Đại học Hebrew (HU) tại Jerusalem, Israel đã tìm ra một phương pháp mới phát hiện dấu vân tay cả trên giấy ướt, công việc mà công nghệ trước đây khó thực hiện được.
Kenguru – chiếc xe sinh ra cho người khuyết tật, chỉ có một cửa duy nhất nhưng cực tiện cho người đi xe lăn
Hãng Community Cars ở bang Texas (Mỹ) đã sáng chế ra một loại ô tô điện mang tên Kenguru, dành cho người khuyết tật phải ngồi xe lăn.
Điện thoại giúp nhìn xuyên thấu mọi chất liệu
Các nhà nghiên cứu tại viện công nghệ UT Dallas mới đây đã biến những chiếc điện thoại cầm tay thành thiết bị giúp người dùng có thể nhìn xuyên thấu mọi chất liệu như tường, gỗ, nhựa, giấy…
Mỹ sắp phóng máy bay nhanh gấp 20 lần âm thanh
Trang Space.com cho hay, Cơ quan Dự án Nghiên cứu cấp cao Quốc phòng Mỹ (tức DARPA) đã lên kế hoạch phát triển và bay thử loại máy bay siêu âm có tên X-Plane tốc độ Mach 20 trong năm 2016.
Nhìn xuyên đêm với kính hồng ngoại giá rẻ
Lái một chiếc xe đi trong đêm mưa là điều rất khó khăn vì bị hạn chế tầm nhìn, khó phát hiện động vật hoặc chướng ngại vật phía trước.
Những hệ thống vũ khí hạt nhân đáng sợ nhất thế giới
Vũ khí quân sự luôn là 1 phương diện để thể hiện sức mạnh của mỗi quốc gia, trong đó có vũ khí hạt nhân. Dưới đây là danh sách những loại vũ khí hạt nhân đáng sợ nhất thế giới.


