TS Nguyễn Chánh Khê và sản phẩm carbon nanotube siêu lợi nhuận
Tiến sĩ Nguyễn Chánh Khê cùng các cộng sự thuộc Trung tâm Nghiên cứu và Phát triển khu Công nghệ cao TP.HCM vừa cho ra đời “đứa con” khoa học hứa hẹn sẽ mang về siêu lợi nhuận cho đất nước: Carbon nanotube đầu tiên của VN được sáng chế hoàn toàn bằng nguyên liệu và công nghệ trong nước.
![]() |
| Tiến sĩ Nguyễn Chánh Khê |
Người làm nên vật liệu trung tâm thế kỷ “Made in Vietnam”
“Tôi đã có những thành công được ghi nhận trên lĩnh vực khoa học công nghệ ở nước ngoài, đã đến lúc tôi phải về nước để góp phần làm cho đất nước tôi giàu mạnh”. Với suy nghĩ này, năm 2002, TS Nguyễn Chánh Khê đã quyết định về định cư tại VN, bỏ lại phía sau những lời mời hấp dẫn từ các trung tâm nghiên cứu và các công ty lớn hàng đầu về công nghệ tại Nhật Bản và Mỹ.
Than nano “lỏng” là một trong những phát minh có tiếng vang lớn của nhà khoa học Việt kiều này sau khi ông về nước và giữ cương vị Giám đốc Trung tâm Nghiên cứu và Phát triển Khu Công nghệ cao TP.HCM. Sản phẩm được ứng dụng vào việc sản xuất mực đen và mực màu “made in Vietnam” cho máy in phun và laser với giá thành rẻ hơn rất nhiều so với mực in nhập ngoại.
Ông cho tôi xem những tấm ảnh in phun bằng loại mực in sản xuất từ than nano “lỏng” với hình ảnh cực kỳ rõ nét, màu sắc chân thật không khác những tấm ảnh in phun từ các loại mực nhập từ nước ngoài. Than nano “lỏng” còn được dùng để chế tạo vật liệu che (masking) trong quy trình chế tạo vi xử lý và pin nhiên liệu còn được gọi là pin thay xăng. Loại pin nhiên liệu không tạo ra ôxít carbon này có thể thay thế các loại xăng dùng cho động cơ, không gây ô nhiễm môi trường, tạo ra năng lượng sạch khi sử dụng.
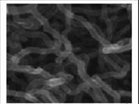
![]() |
Hình chụp carbon nanotube bằng kính hiển vi điện tử (FE-SEM) do TS Nguyễn Chánh Khê và các cộng sự chế tạo tại Phòng Nghiên cứu Công nghệ nano, thuộc Trung tâm R&D, Khu Công nghệ cao TP.HCM |
Trên thế giới, carbon nanotube được coi là vật liệu trung tâm của thế kỷ và được bán với giá rất đắt, khoảng 1.000 USD/gram. Sau khi hoàn thành việc đăng ký quyền sở hữu trí tuệ và tung ra thị trường trong thời gian tới, chất liệu carbon nanotube của TS Nguyễn Chánh Khê được dự báo là sẽ mang lại siêu lợi nhuận dù giá rẻ hơn rất nhiều so với thế giới.
Những công trình đột phá của TS Nguyễn Chánh Khê được nhiều tổ chức khoa học thế giới biết đến và công nhận. Hiệp hội khoa học hàng đầu về công nghệ nano trên thế giới của Mỹ là NSTI (Nano Science and Technology Institute) Nanotech 2006 tại Boston, Hoa Kỳ từ ngày 7 đến 11- 5-2006 đã dành nhiều trang sách trong Vol 1, để công bố thành tựu của ông về việc ứng dụng than nano “lỏng” vào màng dẫn proton ứng dụng cho pin nhiên liệu. Đây là điều đáng tự hào của ngành công nghệ cao còn khiêm tốn và nhiều khó khăn của VN.
Trăn trở với “tầm” công nghệ cao của đất nước
TS Nguyễn Chánh Khê đã quyết định mãi mãi gắn bó với đất nước chỉ vì một lý do đơn giản nhưng trên tất cả: “Tôi yêu quê hương tôi”. Là một Việt kiều sống nhiều năm ở nước ngoài, ông hiểu hơn ai hết cảm giác muốn được về với đất mẹ, với nguồn cội dù ông biết ở đó, điều kiện làm việc, nghiên cứu không thể bằng thung lũng Silicon (Mỹ) hay Dai Nippon Ink (Nhật Bản) nơi ông từng cống hiến.
TS Nguyễn Chánh Khê, sinh năm 1952, tại Đà Nẵng. Năm 1971 du học tại Nhật Bản, học Trường Đại học Công nghiệp Tokyo và lấy bằng tiến sĩ về vật liệu và khoa học xử lý thông tin. Từng làm việc tại Dai Nippon Ink (Nhật Bản), hãng Eastman Kodak, Hewlett - Parkard (Mỹ)... Đoạt nhiều giải thưởng sáng chế và hàng chục phát minh của ông được công nhận tại Nhật Bản, Mỹ. Nhiều sáng chế được các công ty về công nghệ hàng đầu trên thế giới như Sanyo, Ricoh, Intel, Motorola, Kodak... áp dụng để sản xuất máy photocoppy xách tay, máy in, máy vi tính... Năm 2002 về nước và giữ cương vị Giám đốc Trung tâm Nghiên cứu và Phát triển Khu Công nghệ cao TP.HCM. |
Và quả thật, về nước, Nguyễn Chánh Khê đã gặp không ít khó khăn và trở ngại. “Hai phòng thí nghiệm được duyệt bởi ngân sách Nhà nước từ tháng 9-2004 đến nay vẫn chưa thực hiện xong” - ông nói để minh chứng cho hệ thống quản lý hành chính chưa thông thoáng và còn nhiều thủ tục rườm rà, cần phải thay đổi. Đặc biệt, trình độ của chuyên gia trẻ trong nước còn nhiều chênh lệch, kỹ năng không vững, thiếu kinh nghiệm và phong cách làm việc không năng động, chuyên nghiệp.
Bên cạnh đó hạ tầng cơ sở chưa đầy đủ, hóa chất và vật tư cần thiết cho nghiên cứu vật liệu công nghệ cao còn thiếu thốn. Thậm chí, ông phải thường xuyên bỏ tiền túi để đầu tư cho việc nghiên cứu những công trình mang tầm thế giới của chính mình. Nhưng ông đã vượt qua tất cả với tâm trạng phấn chấn vì “góp được công sức mình cho đất nước là vui rồi”.
Điều trăn trở của Nguyễn Chánh Khê đó là còn ít Việt kiều, đặc biệt là Việt kiều trẻ trở về Việt Nam cống hiến cho đất nước. “Tôi mong anh chị em Việt kiều trở về tham gia xây dựng đất nước tại thời điểm này. Nếu cao tuổi thì không còn sức lực đóng góp cho quê hương mình để rồi mãi hối tiếc, nhưng cũng đừng trở về quá sớm khi chưa có kinh nghiệm và thực tiễn tại nước ngoài” - TS Khê bày tỏ.
Đối với thế hệ trẻ trong nước, điều mong mỏi luôn canh cánh trong lòng vị tiến sĩ Việt kiều này là làm sao VN có nền giáo dục tốt để các em học tập và có hứng thú với khoa học một cách vô tư, đồng thời khuyến khích các em đầu tư tìm tòi thông tin mới từ các nền khoa học tiên tiến trên thế giới. “Không có lý do gì mà VN không thể có những đột phá vĩ đại ngang tầm Nhật Bản và Mỹ” - TS Nguyễn Chánh Khê tin tưởng.
Những nhà khoa học lỗi lạc nhất trong lịch sử
Các nhà khoa học là những người rất quan trọng đối với nhân loại. Nhờ có những phát minh, công trình nghiên cứu của học mà thế giới mới phát triển như ngày nay.
“Truyền nhân” của nhà tiên tri Vanga dự đoán gì đầu tiên?
Nhà tiên tri nổi tiếng Vanga qua đời năm 1996, nhưng trước khi về "thế giới bên kia", bà đã kịp đề cập đến "truyền nhân" của mình. Và giờ đây, người đó đã xuất hiện...
Những cái chết bi thảm của người "không tin" lời nhà tiên tri mù Vanga
Nhà tiên tri Vanga đã tiên đoán rất nhiều sự việc đau thương nhưng không thể ngăn chặn điều đó xảy ra với gia đình mình.
Cuộc đời dị thường của nhà khoa học Nikola Tesla
Trong lịch sử, chúng ta luôn ghi nhận Thomas Edison là nhà phát minh vĩ đại nhất trừ trước đến giờ tuy nhiên ngay trong thời đại của ông cũng có một nhà phát minh tài năng không kém. Đó chính là Nikola Tesla.
Acsimet - nhà bác học vĩ đại của Hy Lạp cổ
Archimedes của Syracuse là một nhà toán học, nhà vật lý, kỹ sư, nhà phát minh, và một nhà thiên văn học người Hy Lạp. Dù ít chi tiết về cuộc đời ông được biết, ông được coi là một trong những nhà khoa học hàng đầu của thời kỳ cổ đại.
Những thiên tài tự học "đỉnh" nhất mọi thời đại
Họ đều có điểm chung là không có điều kiện để được học hành đầy đủ nhưng bằng chính sự đam mê, ham học hỏi đã giúp họ thành công và nổi danh.




