Kỳ lạ người đàn ông có nội tạng đảo ngược
Một người đàn ông 66 tuổi ở Mỹ đã khiến các bác sĩ không khỏi bất ngờ khi các cơ quan nội tạng đều ở vị trí ngược hoàn toàn so với người bình thường.
Trước đó, người đàn ông này đã đến bệnh viện để khám bệnh sau khi ho nhiều và đau ngực.
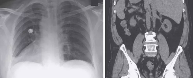
Để xác định nguyên nhân, các bác sĩ đã thực hiện chụp X-quang và nhận ra các cơ quan nội tạng của bệnh nhân đều nằm ở phía bên trái của cơ thể. Trái tim người đàn ông nằm bên phải, gan bên trái…

Hình ảnh phim chụp X-quang của người đàn ông có nội tạng đảo ngược.
Tình trạng của bệnh nhân là một bất thường bẩm sinh có tên Situs inversus. Trên thực tế, trước khi chúng ta có các công cụ chẩn đoán hiện đại, đa phần những người có bất thường bẩm sinh dạng này đều không biết được tình trạng của chính mình.
Bệnh nhân 66 tuổi là một người di cư sang Mỹ sau khi sống trong một trại tị nạn trong 20 năm. Các triệu chứng của người đàn ông bao gồm đau ngực, sung huyết, ho và đau ở bên trái của bụng. Tuy nhiên, rất may mắn đó chỉ là một bệnh nhiễm trùng đường hô hấp thông thường. Sau khi được điều trị giảm đau bằng thuốc chống viêm, bệnh nhân đã hồi phục vài ngày sau đó.
Situs inversus là một tình trạng hiếm gặp, nhưng không phải là chưa từng thấy: Donny Osmond là một trong những trường hợp nổi tiếng hơn. Trên thực tế, Situs inversus trong đó tất cả các cơ quan bụng và tim bị “phản chiếu”, là loại phổ biến nhất và có tỉ lệ 1 trên 10.000 người.
Hầu hết các biến chứng xảy ra xung quanh tim. Trong trường hợp Situs inversus và Dextrocardia, các động mạch chính có thể nằm song song thay vì cắt chéo, có thể làm cho phẫu thuật và ghép tim khó khăn hơn nhiều.
Tình trạng của Situs inversus lần đầu tiên được đặt tên bởi Matthew Baillie vào năm 1788 và là đề tài nhận được sự tò mò của giới khoa học.
Một trường hợp gần đây nhất được phát hiện tương tự như người đàn ông 66 tuổi là Rose Marie Bentley được công bố gần đây từ Oregon, người sống đến tuổi 99. Cho đến khi bà qua đời, không ai biết rằng bà có tình trạng bất thường.
Bệnh tật tiềm ẩn đằng sau nụ hôn
Hôn người khác có thể kéo đến từ những bệnh nhẹ như herpes miệng đến vấn đề nghiêm trọng hơn như viêm màng não do virus hoặc quai bị.
Nguyên nhân gây bệnh viêm răng lợi
Cơ thể là một khối thống nhất. Các cơ quan trong cơ thể khi hoạt động đều có sự phối hợp qua lại lẫn nhau. Khi một cơ quan bị bệnh thì có thể ít nhiều ảnh hưởng đến một hay nhiều cơ quan khác.
7 lời khuyên sử dụng dầu ăn tốt cho sức khỏe
Theo Viện Dinh dưỡng quốc gia, trong mỗi gia đình nên có hai loại dầu ăn để sử dụng cho các loại thực phẩm khác nhau.
Nắng nóng dễ bị bệnh gì?
Tiêu chảy, ngộ độc thức ăn, nhồi máu cơ tim, đột quỵ là bệnh dễ xảy ra trong thời tiết nắng nóng kéo dài hiện nay.
Shinrin-yoku: Cách người Nhật dùng thiên nhiên chữa bệnh
"Forest bathing" hay "tắm rừng" được dịch sát nghĩa từ "Shinrin-yoku" là một cụm từ do chính phủ Nhật sáng tạo vào năm 1982 nhằm khuyến khích những cư dân thành thị đắm mình vào thiên nhiên.
Những loại thực phẩm và đồ uống cực tốt cho gan, giúp thanh lọc cơ thể
Gan người thực hiện hơn 500 chức năng khác nhau, trong đó quan trọng nhất là chuyển hóa và "giải độc".


