Sinh vật học
Khám phá những tin mới nhất về sinh vật học, khoa học về sự sống các loài động vật, thực vật kèm theo các hình ảnh tuyệt đẹp mới nhất về các loài động thực vật
Ve sầu hoành hành trung tây Mỹ
Trong tháng 5 sẽ có nhiều tỷ con ve sầu “tấn công” các tiểu bang vùng trung tây, sau 17 năm ẩn mình dưới đất. Con côn trùng mắt đỏ, thân hình như con tôm nhỏ, bay lượn, không cắn hay chích gì cả. Nhưng “bản hợp ca” củ
Đăng ngày: 26/05/2007
Mỹ phát triển nhiên liệu sinh học từ dăm bào
Theo một nghiên cứu được đăng trên tạp chí Energy and Fuels, các nhà nghiên cứu Mỹ vừa phát triển một loại nhiên liệu sinh học mới từ dăm bào trộn với dầu diesel sinh học và dầu hỏa dành cho các loại động cơ cổ điển.
Đăng ngày: 25/05/2007
Mỹ đẩy mạnh sử dụng nhiên liệu ethanol
Lần đầu tiên bang New York, Mỹ, hai trạm xăng bắt đầu mở dịch vụ bán nhiên liệu ethanol cho công chúng. Đây là loại nhiên liệu đang được khuyến khích sản xuất và sử dụng để thay thế cho nguồn nhiên liệu truyền thống dầu mỏ.
Đăng ngày: 25/05/2007
Tạo phôi bò từ tiêm tinh trùng vào trứng
Ngày 22/5, một nhóm các nhà khoa học thuộc lĩnh vực công nghệ sinh học động vật, ĐH Tự nhiên TP.HCM, đã tạo ra 3 phôi bò sữa trong ống nghiệm bằng phương pháp vi tiêm.
Đăng ngày: 23/05/2007
Mỗi năm, hàng chục ngàn loài động, thực vật bị tuyệt chủng
Mỗi năm, lại có thêm 18.000 - 55.000 loài động vật và thực vật bị tuyệt chủng. Nguyên nhân là do các hoạt động của con người. Báo động từ Ban Thư ký Công ước về Đa dạng sinh học.
Đăng ngày: 23/05/2007
Lưu dữ liệu trong... DNA của vi khuẩn
Ngày nay, dữ liệu có thể lưu được trên trên đĩa mềm, chip máy tính, ổ cứng và tất nhiên là giấy tờ. Tuy nhiên, các nhà khoa học đã tìm thấy một phương tiện lưu trữ mới, nhỏ hơn nhưng sức chịu đựng và độ bền thì xứng là vô địch. Đ
Đăng ngày: 18/05/2007
“Nhíp” từ tính làm sáng tỏ tính chất cơ học của tế bào
Bằng cách đưa các hạt từ cực nhỏ vào trong một tế bào sống và kích hoạt chúng bằng một “chiếc nhíp” từ tính, các nhà khoa học trường đại học Twente, Hà Lan, đã hiểu hơn về cơ học của nhân tế bào.
Đăng ngày: 17/05/2007
Vi khuẩn tạo năng lượng và làm sạch nước thải
Một nhóm các nhà nghiên cứu Australia đã tạo một hệ thống cho phép làm sạch nước thải từ một nhà máy bia nhờ sử dụng những con vi khuẩn tạo năng lượng.
Đăng ngày: 15/05/2007
Một nền nông nghiệp hữu cơ có thể giúp thế giới chống đói nghèo
Thực phẩm hữu cơ từ lâu được xem là thị trường nhỏ, và xa xỉ chỉ dành cho giới trung và thượng lưu. Tuy nhiên, các nhà khoa học cho rằng sự chuyển dịch phần lớn nền nông nghiệp sang phương thức cách tác hữu cơ vừa có thể giúp hạn chế tình trạng đói nghè
Đăng ngày: 13/05/2007
Thực vật có sex không?
Khi mọi người ngắt một bông hoa tỏa hương thơm ngát từ một cây nào đó, thì thực tế họ đang lấy đi bộ phận sinh sản của cây. Phần "nam giới" của bông hoa là nhị hoa chứa đầy phấn, còn phần "nữ giới" là nhuỵ hoa chứa trứng.
Đăng ngày: 12/05/2007
Nhật: Tạo giống lúa giàu chất sắt và đạt năng suất cao
Theo tạp chí PNAS của Mỹ, các nhà nghiên cứu Nhật Bản đã thành công trong việc tạo một giống lúa gạo giàu chất sắt nhờ bổ sung một enzym và tăng năng suất của cây nhờ trồng trên đất vôi.
Đăng ngày: 11/05/2007
Vì sao châu chấu có sức mạnh của Lance Amstrong?
Được trang bị hai chân dài, chắc nịch, và khỏe như Lance Amstrong, châu chấu sinh ra là để bay và nhảy. Một nhà khoa học mới đây đã cho 20 loài tham gia một cuộc thi nhảy và phát hiện thấy chúng giống hệt như những người nhảy lò cò.
Đăng ngày: 10/05/2007
Thế giới kỳ lạ của những sâu bọ tí hon
Sống nhởn nhơ trong các lỗ chân lông trên mặt người, trên áo lông thú (loại lông càng đắt tiền càng thích) hay một nơi nào đó có hơi người chờ hút máu, một lúc nào đó
Đăng ngày: 10/05/2007
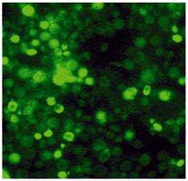
Nuôi cấy thành công nấm men phát hiện chất nổ
Một nhóm các nhà khoa học Mỹ đã nuôi cấy thành công một loại nấm men đặc biệt có khả năng đổi sang màu xanh huỳnh quang khi tiếp xúc với không khí có chứa phân tử thuốc nổ. Nghiên cứu trên được đăng trên trang điện tử của tạp chí N
Đăng ngày: 09/05/2007
Tạo màu cho tơ lụa mà không cần nhuộm
Tại sao lại phải mất công nhuộm tơ lụa khi các con tằm có thể được biến đổi gene để tạo bất cứ màu nào trong bảy sắc cầu vồng? Đó là mục tiêu của các nhà khoa học Nhật Bản khi vừa biến đổi gene của chúng để tằm sản xuất ra sợi tơ có màu nhất định.
Đăng ngày: 09/05/2007
Nhiên liệu làm từ dầu dừa giúp hạn chế khí thải
Hạn chế khí thải đang là một biện pháp được các chuyên gia đề nghị để giải quyết tình trạng trái đất ấm dần lên. Trong khi các nước đang bàn cãi về hướng thực hiện việc này, thì một doanh nhân Australia đã giới thiệu một sản phẩm mà ông cho là
Đăng ngày: 07/05/2007
Tiêu điểm


