Công nghệ mới
Những công nghệ mới nhất trong ngành khoa học như công nghệ máy tính, các loại vật liệu mới, nhiên liệu mới phục vụ cho đời sống.

Robot đã tự biết lừa bóng, qua người, ghi bàn
Nhờ phương pháp đào tạo AI mới, những chú robot đã có thể tự động cải thiện kỹ năng và tham gia vào một trận bóng mô phỏng.
Đăng ngày: 13/04/2024

Thiết kế găng tay điện tử không thấm nước
Các nhà nghiên cứu đã thiết kế găng tay chống nước được trang bị cảm biến có thể chuyển cử chỉ tay thành tin nhắn, giúp thợ lặn giao tiếp tốt hơn với độ chính xác 99,8%.
Đăng ngày: 12/04/2024

Tấm than chì bay lơ lửng: Đột phá bước ngoặt về công nghệ vật liệu
Ranh giới trong khoa học vật liệu và công nghệ cảm biến đang bị phá vỡ bởi một nghiên cứu kết hợp lực bay lên, khả năng cách nhiệt và phản hồi theo thời gian thực.
Đăng ngày: 11/04/2024

Động cơ có thể giúp máy bay đạt tốc độ Mach 9
Các kỹ sư thử nghiệm thành công một drone ở tốc độ cận âm trang bị động cơ đốt giống tên lửa, có thể đạt vận tốc 11.000 km/h khi bay thương mại trong tương lai.
Đăng ngày: 11/04/2024

Nguyên mẫu máy bay siêu vượt âm trình làng
Startup Mỹ Hermeus hôm 28/3 hé lộ Quarterhorse Mk1, nguyên mẫu máy bay phản lực không người lái tốc độ cao mới, tại nhà máy ở thành phố Atlanta.
Đăng ngày: 07/04/2024

Chế tạo thành công lớp "áo giáp" loại bỏ 96% virus
Vật liệu có thể được tích hợp vào các thiết bị và bề mặt để ngăn chặn sự lây lan của virus và giảm việc sử dụng chất khử trùng.
Đăng ngày: 06/04/2024

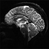
Hình ảnh rõ nét nhất về bộ não chúng ta từ siêu máy quét MRI
Những triển vọng được mở ra bởi cỗ máy độc đáo này trên thế giới là rất lớn, giúp các nhà khoa học thiết lập các chẩn đoán tốt hơn cho nhiều loại bệnh về não.
Đăng ngày: 05/04/2024

Camera kỹ thuật số lớn nhất thế giới giúp khám phá bí mật về vật chất tối
Với camera LSST 3.200 megapixel, đài quan sát Vera C. Rubin có thể khám phá những bí mật về vật chất tối và năng lượng tối.
Đăng ngày: 04/04/2024

Tàu bay dạng khí cầu tốc độ 100km/h của Trung Quốc
AS700, tàu bay dân dụng dạng khí cầu có người lái do Trung Quốc tự phát triển, thực hiện thành công chuyến bay bàn giao đầu tiên hôm 30/3.
Đăng ngày: 03/04/2024

Du thuyền lai tàu ngầm tầm hoạt động hơn 11.000km
Tàu Deep Sea Dreamer có chi phí chế tạo dự kiến khoảng 250 triệu USD, có thể chạy trên mặt nước, lặn sát mặt nước hoặc xuống sâu 100m.
Đăng ngày: 02/04/2024

Chiếc kính mắt có thể chuyển từ kính râm thành kính đọc sách chỉ bằng cái vuốt nhẹ
Công ty Deep Optics mới đây đã chế tạo 32 Degrees North - loại kính thích ứng cải tiến, vừa hoạt động như kính một chiếc kính râm nhưng cũng có thể biến thành kính đọc.
Đăng ngày: 02/04/2024

Công nghệ tấm chắn tàng hình thu hút được nhiều người chú ý
Tấm chắn tàng hình Invisibility Shield có thể khiến người đứng phía sau ẩn mình vào khung cảnh xung quanh giữa ban ngày.
Đăng ngày: 30/03/2024

Tàu Thụy Sĩ lập kỷ lục chạy 2.803km bằng hydro
Một tàu chở khách sử dụng pin nhiên liệu hydro của sản xuất phương tiện đường sắt Stadler Rail lập Kỷ lục Thế giới Guinness khi chạy liên tục gần hai ngày qua 2.803km.
Đăng ngày: 29/03/2024

Kỹ sư Canada chế tạo camera nhanh nhất thế giới
Các kỹ sư ở Trung tâm nghiên cứu viễn thông INRS Énergie Matériaux phát triển camera nhanh nhất thế giới, có thể chụp ở tốc độ 156,3 nghìn tỷ khung hình/giây (fps).
Đăng ngày: 28/03/2024

Giải pháp in 3D xây trường học nhanh thần tốc trong khu chiến sự
Chỉ mất 40 giờ đồng hồ, các bức tường của dự án thí điểm trường tiểu học Lviv (Ukraine) đã được hoàn thiện nhờ chiếc máy in 3D COBOD.
Đăng ngày: 27/03/2024

Châu Âu mở đường hầm thử nghiệm tàu siêu tốc 1.000km/h
Đường hầm dài nhất châu Âu để thử nghiệm công nghệ tàu siêu tốc Hyperloop mở cửa hôm 27/3 tại Hà Lan.
Đăng ngày: 27/03/2024
Tiêu điểm